
Kante – die Zukunft ist hell und voller Hoffnung Kante stammt aus meinem K-Wurf und ist für[…]

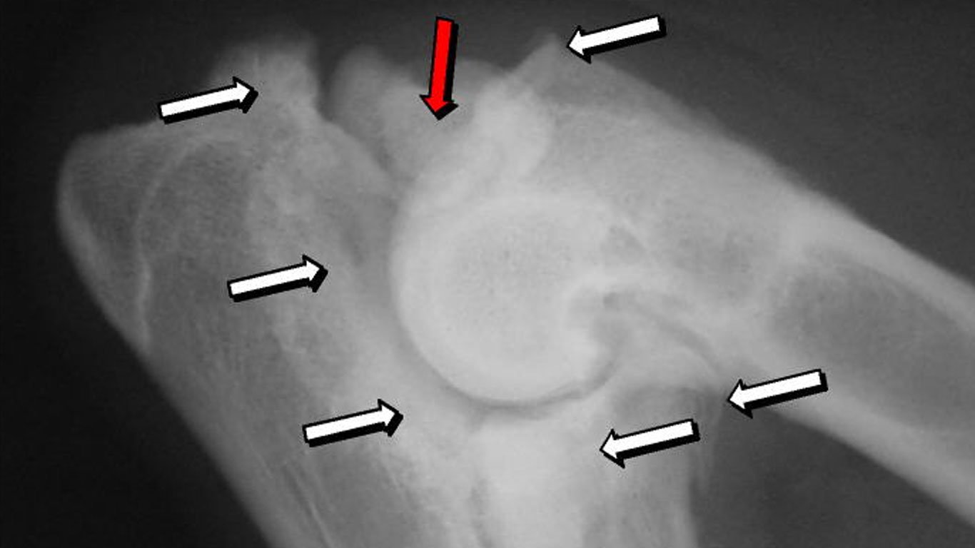
Die Ellenbogendysplasie (ED) ist eine Erkrankung, bei der das Ellenbogengelenk des Hundes nicht korrekt entwickelt ist. Das[…]

Vor einigen Tagen hat mir eine liebe Followerin auf Instagram eine wunderbare Frage gestellt: „Wie läuft das[…]