Die Ellenbogendysplasie (ED) ist eine Erkrankung, bei der das Ellenbogengelenk des Hundes nicht korrekt entwickelt ist. Das Ellenbogengelenk ist eines der komplexesten Gelenke im Körper des Hundes, da es aus drei Knochen besteht: dem Oberarmknochen (Humerus), dem Speichenknochen (Radius) und der Elle (Ulna). Diese drei Knochen müssen perfekt zueinander passen und stabil zusammenarbeiten, damit der Hund seine Vorderbeine schmerzfrei bewegen kann. Bei einer ED ist diese Passform gestört, was zu Fehlbelastungen, Schmerzen und langfristig zu einer Arthrose führen kann.
Was ist ED genau?
ED ist ein Sammelbegriff für verschiedene Entwicklungsstörungen im Ellenbogengelenk. Die häufigsten Formen der ED sind:
Fragmentierter Processus Coronoideus medialis (FCP):
Hierbei löst sich ein kleines Knochenstück der Elle (Ulna) ab. Dieses abgelöste Fragment kann im Gelenk Schmerzen und Entzündungen verursachen.
Osteochondrosis dissecans (OCD):
Eine Entwicklungsstörung des Gelenkknorpels, bei der sich Teile des Knorpels lösen und frei im Gelenk bewegen. Dies führt zu einer starken Reibung und Entzündung.
Ununited Anconeal Process (UAP):
Ein Teil der Elle (der sogenannte Anconeus) verbindet sich nicht korrekt mit dem restlichen Knochen, was Instabilität und Schmerzen verursacht.
Inkongruenz des Ellenbogengelenks:
Die drei Knochen des Ellenbogengelenks passen nicht richtig zueinander, was zu einer ungleichmäßigen Belastung und zu Schäden im Gelenk führt.
Oft treten mehrere dieser Probleme gleichzeitig auf, was die Erkrankung besonders komplex macht.



ED – Grad 0: Normal – keine Osteophyten oder Sklerose
ED – Grad I: Milde Arthrose – Osteophyten kleiner als 2 mm oder Sklerose der Gelenkfläche der Elle
ED – Grad II: Moderate Arthrose – Osteophyten zwischen 2 und 5 mm groß
ED – Grad III: Schwere Arthrose – Osteophyten größer als 5 mm
Was bedeutet ED für den Hund?
ED kann das Leben eines Hundes erheblich beeinträchtigen, je nach Schweregrad und Fortschreiten der Erkrankung. Hier sind die wichtigsten Auswirkungen:
Schmerzen:
Bereits im jungen Alter können Hunde mit ED Schmerzen im Ellenbogengelenk verspüren. Diese Schmerzen werden mit der Zeit oft schlimmer, besonders wenn Arthrose entsteht.
Bewegungseinschränkungen:
Hunde mit ED haben oft Schwierigkeiten, sich frei zu bewegen. Typisch sind ein steifer Gang, Lahmheit (besonders nach Bewegung oder Ruhephasen) und eine verminderte Spielfreude.
Langfristige Folgen:
Ohne Behandlung kann ED zu einer fortschreitenden Verschlechterung des Gelenks führen. Das Gelenk wird zunehmend instabil, der Knorpel abgenutzt, und der Hund leidet unter chronischen Schmerzen.
Emotionale Belastung:
Hunde mit Schmerzen oder eingeschränkter Beweglichkeit können ängstlich, gereizt oder weniger sozial sein, da sie sich unwohl fühlen.
Wie wird ED diagnostiziert?
Die Diagnose von ED erfordert eine gründliche Untersuchung durch einen Tierarzt:
- Beobachtung des Bewegungsapparats: Der Tierarzt prüft, ob der Hund Schmerzen zeigt, lahmt oder Auffälligkeiten im Gangbild hat.
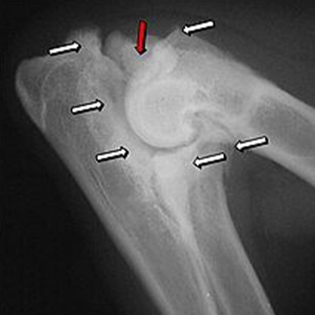
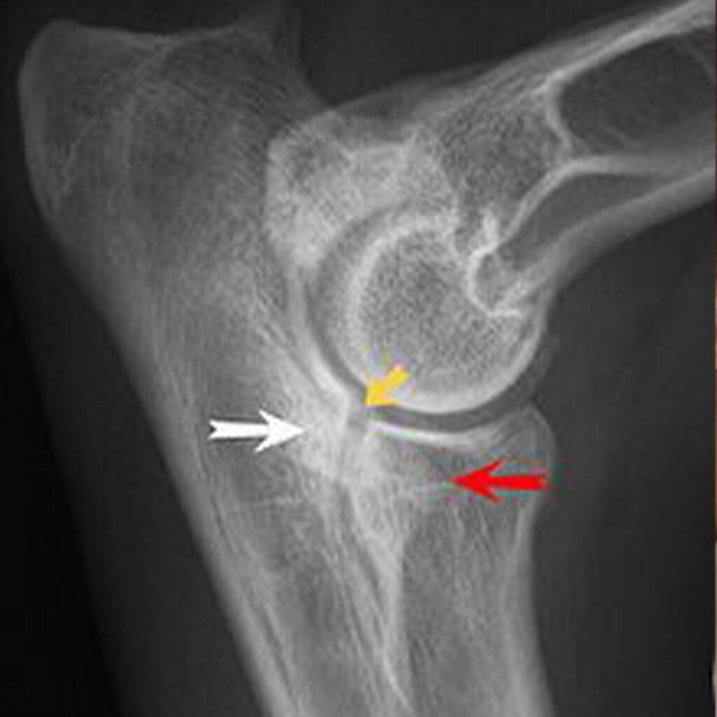
- Röntgenaufnahmen: Dies ist die Standardmethode, um strukturelle Probleme im Gelenk zu erkennen.
- CT oder MRT: In komplizierten Fällen können weiterführende bildgebende Verfahren notwendig sein, um Details des Gelenks genauer zu betrachten.
Warum ist es wichtig, dass Elterntiere auf ED getestet werden?
ED ist, ähnlich wie die Hüftdysplasie (HD), eine genetisch bedingte Erkrankung. Die Veranlagung zur ED wird über die Gene von den Eltern an die Nachkommen weitergegeben. Daher ist es entscheidend, dass Züchter nur Hunde zur Zucht verwenden, die auf ED getestet wurden und keine Anzeichen der Erkrankung zeigen.
Die Vorteile von getesteten Elterntieren sind:
Reduzierung des Risikos:
Durch den Einsatz gesunder Elterntiere kann das Risiko, dass die Welpen an ED erkranken, deutlich gesenkt werden.
Verantwortungsvolle Zucht:
Seriöse Züchter achten darauf, dass nur gesunde Hunde zur Zucht eingesetzt werden, um die Belastung der Rasse durch ED zu minimieren.
Verbesserung der Gesundheit der Rasse:
Langfristig kann durch konsequente Testung und Selektion das genetische Risiko für ED in der Rasse verringert werden.
Was können Hundehalter tun, um ED vorzubeugen oder zu behandeln?
Wenn ein Hund an ED leidet oder ein erhöhtes Risiko hat, gibt es verschiedene Maßnahmen:
Prävention im Welpenalter:
- Achte auf eine ausgewogene Ernährung, um Übergewicht zu vermeiden, da dieses die Gelenke zusätzlich belastet.
- Vermeide zu intensive körperliche Belastung bei jungen Hunden, da dies die Gelenke schädigen kann.
Behandlungsmöglichkeiten:
- Medikamentöse Therapie: Schmerzmittel und entzündungshemmende Medikamente können die Beschwerden lindern.
- Physiotherapie: Übungen zur Stärkung der Muskulatur können helfen, das Gelenk zu stabilisieren und die Beweglichkeit zu verbessern.
- Operationen: In schweren Fällen können chirurgische Eingriffe erforderlich sein, z. B. die Entfernung von Knochenfragmenten oder der Einsatz eines künstlichen Gelenks.
Lebenslanges Management:
Eine Kombination aus angemessener Bewegung, Gewichtskontrolle und eventuell unterstützenden Nahrungsergänzungsmitteln (wie Glucosamin oder Omega-3-Fettsäuren) kann die Lebensqualität von Hunden mit ED erheblich verbessern.
Fazit
Die Ellenbogendysplasie ist eine ernstzunehmende Erkrankung, die das Leben eines Hundes stark beeinträchtigen kann. Umso wichtiger ist es, dass Züchter nur Hunde zur Zucht verwenden, die auf ED getestet wurden und keine Auffälligkeiten zeigen. Als zukünftiger Hundehalter sollte man beim Kauf eines Welpen immer nach den Testergebnissen der Elterntiere fragen. Eine verantwortungsvolle Zucht ist die beste Grundlage, um das Risiko von ED zu minimieren und den Hunden ein schmerzfreies und aktives Leben zu ermöglichen.








